Buscan a un conductor de una camioneta que atropelló y abandonó a un repartidor en el UPA de Fiorito
Un joven repartidor denunció que una camioneta F-100 lo atropelló y su conductor lo abandonó en la Unidad de Pronta Atención (UPA) de Villa Fiorito, partido de Lomas de Zamora. El hecho ocurrió el domingo 5 de octubre, alrededor de las 13:30, en la intersección de las calles Figueredo y Benito Pérez Galdós.
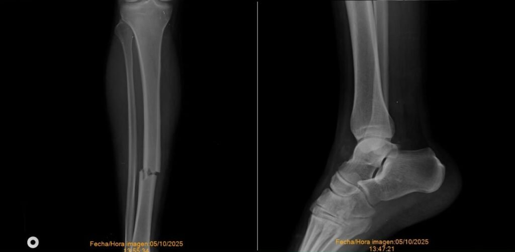
En diálogo con Lomas Conectado, la víctima, identificada como Martín Tarelli, de 28 años, contó que se dedica a realizar ventas y envíos en moto, y que el accidente le provocó graves lesiones. “Me chocó y me dejó en el UPA 1 de Fiorito, después se dio a la fuga sin dejar cédula, seguro ni nada. Me rompió la tibia, me hicieron 15 puntos en el tobillo y tengo muchos hematomas”, relató.
Lee también:
- Condenaron al último imputado por el crimen de Umma Aguilera
- Llavallol: una vecina alertó y detuvieron a dos sospechosos

Según detalló, el responsable sería un hombre adulto, de tez morocha, canoso y que usaba boina, que conducía una camioneta Ford F-100 blanca. Tarelli afirmó que ya inició una causa penal por abandono de persona y que espera recibir las imágenes de las cámaras de seguridad en los próximos días.

“Me dejó sin ingresos porque vendo cosas y no puedo moverme. No tengo obra social ni el dinero para los clavos. Me arruinó”, lamentó el joven, quien continúa recuperándose de las lesiones sufridas.